今日は、前から予約を入れていたEye examの検査をしてもらいました。
新しい眼鏡は、ジャスティンに前もらったのですが、レンズを入れてもらってなかったのと、新しいコンタクトを買うための検査が必要なので、見てもらいました
一応、1年半分のコンタクトは日本から持って来たので、今すぐに欲しいわけではないのですが、とりあえず眼鏡のレンズだけ
日本の様に、「右」「左」「上」「下」という検査はないんですね
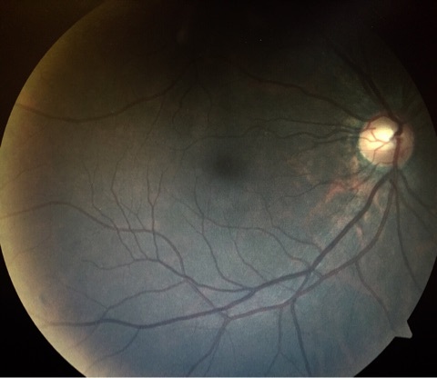
ドクターに、私の眼球の中の写真を見せてくださいました。

アメリカでは、こんな写真も見せてくれるんですね。
自分の眼球の写真なんて、初めて見ました
目が悪い以外は、すべて健康という事でした。
良かった
帰りにカフェラテとアップルシナモンマフィンを、いつものカフェでTo Go

店員さんが、「今日、エクレアを作ったんだけど、食べてかない?」と言ってくれたので、味見
めちゃくちゃソフトで美味しかったです
実は、おととい久しぶりにスタバでカフェラテを飲んだのですが(日曜はLetha Mae's bakery cafeは営業していないので)、スタバのコーヒーがすごく美味しくなく感じました
いかに、ここのカフェのコーヒー豆がフレッシュで、味が深いかを改めて感じました。
コーヒー好きな方は、ぜひLetha Mae's bakery cafeのコーヒーを試してみてください
パンもケーキもフレッシュです
新しい眼鏡は、ジャスティンに前もらったのですが、レンズを入れてもらってなかったのと、新しいコンタクトを買うための検査が必要なので、見てもらいました

一応、1年半分のコンタクトは日本から持って来たので、今すぐに欲しいわけではないのですが、とりあえず眼鏡のレンズだけ
日本の様に、「右」「左」「上」「下」という検査はないんですね

ドクターに、私の眼球の中の写真を見せてくださいました。

アメリカでは、こんな写真も見せてくれるんですね。
自分の眼球の写真なんて、初めて見ました

目が悪い以外は、すべて健康という事でした。
良かった

帰りにカフェラテとアップルシナモンマフィンを、いつものカフェでTo Go


店員さんが、「今日、エクレアを作ったんだけど、食べてかない?」と言ってくれたので、味見

めちゃくちゃソフトで美味しかったです
実は、おととい久しぶりにスタバでカフェラテを飲んだのですが(日曜はLetha Mae's bakery cafeは営業していないので)、スタバのコーヒーがすごく美味しくなく感じました
いかに、ここのカフェのコーヒー豆がフレッシュで、味が深いかを改めて感じました。コーヒー好きな方は、ぜひLetha Mae's bakery cafeのコーヒーを試してみてください
パンもケーキもフレッシュです
コメント